歯の保存にこだわった、
知識と経験の精密治療
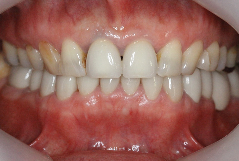
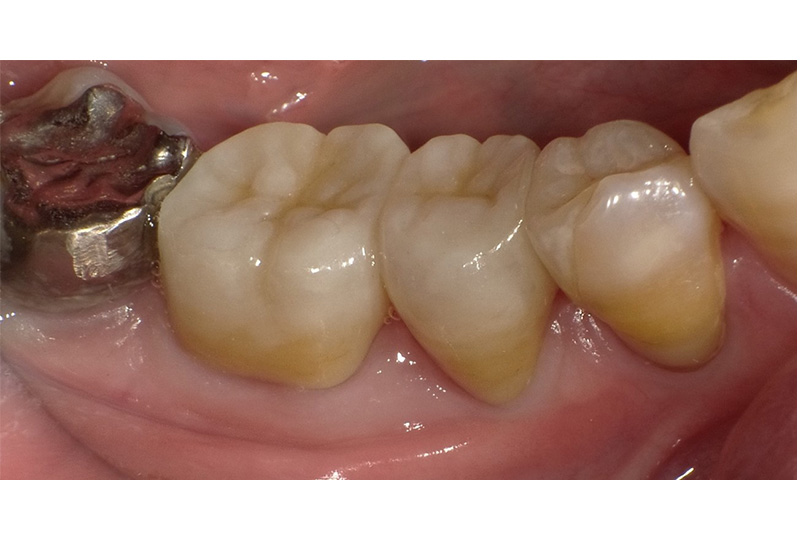
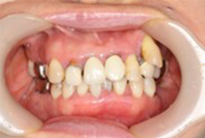
当院では、基本となる保険診療だけでなく、より高水準な「自由診療」も行っています。
審美性にこだわった治療から保存が難しいと言われた歯の保存やお口全体をより良い状態にする一歩進んだ専門的な治療を行います。
『歯のひび(歯根破折)』など通常であれば抜歯と言われるような歯の保存や歯を失った所に親知らずなどを移動させる『歯の移植』など一般の歯科医院では行わない特殊な治療も行なっております。


















